Skip to content
  • Home
  • About Us
    • Our Mission
    • People
    • Contact
    • Write for Us
  • Topics
    • Agriculture
    • Astrobiology & Space Science
    • Astronomy
    • Biology
    • Chemistry
    • Computer Science
    • Earth Systems
    • Ecology
    • Education
    • Engineering
    • Environment
    • Geology
    • Machine learning and AI
    • Materials Science
    • Medicine
    • Microbiology
    • Neuroscience
    • Oceanography
    • Paleobiology
    • Physics
    • Sustainability
    • Technology
    • Technosignatures
    • The Force
    • Zoology
  • Big Questions
    • How can microbes clean up the environment?
    • How can science help ensure a sustainable future?
    • How could humans travel in space?
    • How do computers learn?
    • How do microbes respond to changes in their surroundings?
    • How does the environment respond to humans?
    • How do scientists study drugs and vaccines?
    • How do we treat infectious diseases?
    • How does the brain work?
    • How do scientists use nanotechnology?
    • How does technology impact our daily lives?
    • How do we educate our kids?
    • How do we feed people now and in the future?
  • Newsletter
  • Take Our Courses
  • Professor Partnership Program
    • About the Program
    • All PPP Articles
    • New Mexico Tech
    • Raritan Valley CC Biology
    • RWU and Tufts Cancer Biology
    • Swarthmore College Micro-Internship
    • Trinity Geology
    • University of Delaware
  • Support Us
Skip to content

Sciworthy

Sciworthy

The Encyclopedia of Science's Frontier

Category: RWU and Tufts Cancer Biology

Biology students from Tufts University and Roger Williams University summarize the latest advances in cancer research.
shadow

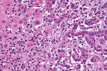
Certain proteins can determine the prognosis of bile duct cancer patients

Posted on June 2, 2022October 24, 2022 by Sciworthy

Bile duct cancer, or intrahepatic cholangiocarcinoma in doctor-speak, is the deadliest of the liver cancers. Bile duct cancer is very hard…

    Read More
    shadow

    Does viral load matter for cancer patients with COVID-19?

    Posted on May 30, 2022October 24, 2022 by Sciworthy

    The SARS-CoV-2 viral loads were measured by quantitative PCR to look for a possible relationship between mortality rate and viral load in…

      Read More
      shadow

      The drug cemiplimab is being studied for cervical cancer

      Posted on May 26, 2022October 24, 2022 by Sciworthy

      Each year, roughly 600,000 women are diagnosed with new cases of cervical cancer, accompanied by 350,000 deaths worldwide. In the United…

        Read More
        shadow

        Cancer patients appear to be more vulnerable to SARS-CoV-2

        Posted on May 23, 2022October 24, 2022 by Sciworthy

        How does COVID-19 affect patients with cancer? New research performed using data from hospitals in Hubei Province, China suggest that cancer…

          Read More
          shadow

          Another possible entry point for the coronavirus

          Posted on May 19, 2022October 24, 2022 by Sciworthy

          Researchers are studying the HSPA5 receptor, as it may hold clinical significance to COVID-19 and cancer, which may provide future…

            Read More
            shadow

            Scientists analyze the domino effect of breast cancer escalation

            Posted on June 10, 2021June 24, 2025 by Sciworthy

            Research conducted in China has made way for potential treatment options for treating breast cancer metastasis in lymph nodes.

              Read More
              shadow

              Shrinking ovarian tumors with personalized medicine

              Posted on June 7, 2021October 24, 2022 by Sciworthy

              In a recent study, a group of scientists from the UK evaluated whether a combination of several proteins and a cancer drug that interferes…

                Read More
                shadow

                A personalized vaccine to treat ovarian cancer

                Posted on June 3, 2021June 25, 2025 by Sciworthy

                An exciting recent clinical trial developed a personalized vaccination as a safe and effective approach in ovarian cancer treatment.

                  Read More
                  shadow

                  Why do some breast cancer cells survive treatment?

                  Posted on May 31, 2021October 24, 2022 by Sciworthy

                  For tumor cells that survive treatment, one of their tricks is using microRNA molecules to communicate with one another and stay alive.

                    Read More
                    shadow

                    New research finds negative effects of chemotherapy on kids

                    Posted on May 27, 2021October 24, 2022 by Sciworthy

                    Behavior scales and MRI scans are used to connect possible psychosocial effects on pediatric cancer patients post chemotherapy.

                      Read More
                      • 1
                      • 2
                      • 3
                      • 4
                      • 5
                      Youtube Bluesky Facebook Instagram Twitter TikTok

                      What’s New in Space Science?

                      Artist's impression of the planetary system around the red dwarf Gliese 581. Credit: ESO

                      Unlock Your Potential!

                      Unlock Your Potential!
                      shadow
                      shadow
                      shadow

                      Help us help you!

                      We want to know how Sciworthy can better serve our readers. Take our 5-minute survey and tell us your thoughts!

                      Take the Survey

                      Sciworthy’s content is Creative Commons, No Derivatives, With Attribution. Read more about the license here.